Examens complémentaires
Quels examens pratiquons-nous ?
Echographie
Le principe de l’échographie est d’envoyer des ultrasons qui sont plus ou moins réfléchis par les organes traversés...
Analyses de sang
Afin de vous assurer une efficacité optimale dans le diagnostic des maladies de vos animaux,...
Analyses d’urine
Bien que très anciennes (les égyptiens (anciens) pratiquaient déjà l’uroscopie consistant initialement...
Examens microscopiques
Il s’agit d’examiner au microscope des frottis sanguins, des raclages cutanés, des cytoponctions qui sont...
Mesure de tension artérielle
La mesure de la pression artérielle est possible chez le chien et le chat en utilisant un appareil appelé...
Radiographie
Le principe d’une radiographie est d’exposer la partie à radiographier à un faisceau de rayons X pour...
Le principe de l’échographie est d’envoyer des ultrasons qui sont plus ou moins réfléchis par les organes traversés. La sonde qui envoie les ultrasons les réceptionne et construit une image en fonction de leur intensité.
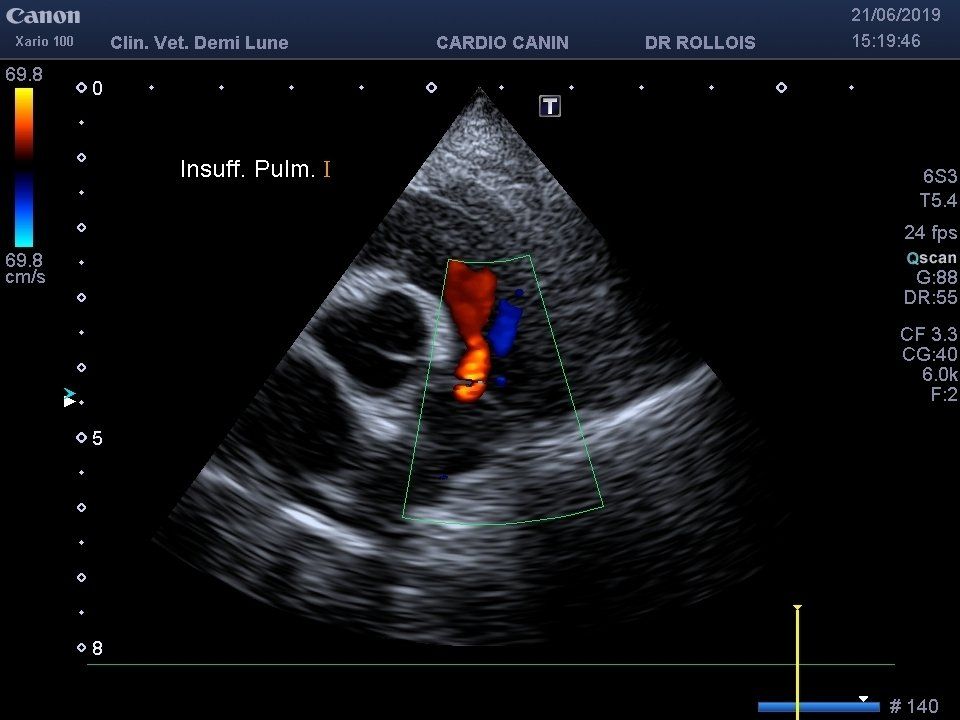
Cet examen est réalisé le plus souvent en votre présence et permet d’examiner les organes abdominaux (échographie abdominale), ou le cœur en activité (échocardiographie). L’échographe de la clinique vétérinaire demi-lune est récent et possède 3 sondes : une sonde pour l’examen des organes abdominaux et 2 sondes spécialisées dans l’examen cardiaque.
Notre conseil
Laisser votre animal à jeûn avant cet examen.
Et en cas d’examen échographique urinaire, ne le laisser pas uriner dans les 3 heures qui précèdent !
L’échographie abdominale est indiquée pour l’exploration des maladies des reins, de la rate, du foie mais aussi pour les diagnostics de gestation (visualisation des fœtus et des battements cardiaques), pour l’exploration du tube digestif et de certaines maladies hormonales.
En cas d’anomalie, certains prélèvements peuvent aussi être réalisés sous échographie : prélèvement urinaire (cystocentèse), prélèvements à l’aiguille fine, biopsies…
L’échocardiographie est indiquée dans l’exploration et le suivi des maladies cardiaques. Elle permet la visualisation des cavités cardiaques, ainsi que la contractibilité du muscle cardiaque et l’observation de la circulation sanguine. Elle peut être complétée par une mesure de la tension artérielle par un appareil Doppler et la réalisation d’un électrocardiogramme.
Afin de vous assurer une efficacité optimale dans le diagnostic des maladies de vos animaux, la clinique vétérinaire demi-lune est équipée d’appareils automates d’analyses sanguines. Nous pouvons donc réaliser sur place en quelques minutes les examens suivants :
Biochimie sanguine – Ces analyses de sang quantifient différents paramètres permettant d’explorer le fonctionnement des organes.
le foie (ALAT = transaminases, PAL = phosphatases alcalines, acides biliaires, protéines)
les reins (urée, créatinine)
le pancréas (glycémie pour recherche de diabète)…
Numération et formule sanguines (hématologie) – Cette analyse de sang dénombre et type les cellules sanguines. Elle permet entre autres d’identifier différentes anomalies : anémie (baisse du taux d’hémoglobine en cas d’hémorragie), leucocytose (augmentation du nombre de globules blancs en cas d’infection), thrombopénie (baisse du nombre de plaquettes sanguines avec risque hémorragique lors d’une intervention chirurgicale).
Temps de coagulation – Cette analyse de sang permet de dépister des anomalies de la coagulation sanguine lors de certaines intoxications, maladies hépatiques ou maladies congénitales (hémophilie), ou de vérifier une bonne coagulation avant certaines interventions chirurgicales à risque
Lecteurs rapides – La clinique vétérinaire demi-lune a aussi investi dans les appareils suivants
mesure rapide de la glycémie pour le suivi des patients diabétiqes
mesure rapide du taux de lactates (bien connu des grands sportifs, utilisé chez nous en réanimation)
Tests rapides sanguins de dépistage de maladies infectieuses : Le sida (virus FIV) et la leucose féline (virus FeLV) peuvent être facilement dépistés en quelques minutes après une simple prise de sang. On les recherche notamment avant la vaccination d’un chat dont on ne connaît pas le statut infectieux des parents, lors de fièvre récurrente d’origine indéterminée ou bien lors de maladies récidivantes ou rebelles aux traitements classiques (gingivite, abcès, problèmes dermatologiques…).
Autres tests rapides : Nous utilisons souvent d’autres tests rapides pour les diagnostic de la PIF (péritonite Infectieuse Féline), de la leishmaniose chez le chien, des pancréatites chez le chat et le chien…
Des analyses plus spécifiques peuvent être réalisées par nos laboratoires externes spécialisés dans les analyses vétérinaires : nous effectuons les prélèvements à la clinique (prise de sang, test hormonal, prélèvements cutanés, biopsies de peau ou d’organe…) ; un coursier vient quotidiennement chercher les prélèvement afin de les acheminer dans la journée au laboratoire qui réalise ainsi les analyses prescrites par votre vétérinaire. Les résultats nous parviennent sous quelques jours (selon le type d’analyse), et votre vétérinaire vous en informe dès qu’il en a pris connaissance afin de vous les expliquer et de poursuivre avec vous la démarche diagnostique et thérapeutique la plus adaptée.
Bien que très anciennes (les égyptiens (anciens) pratiquaient déjà l’uroscopie consistant initialement en l’examen visuel des urines), les analyses urinaires restent d’une grande utilité même dans une médecine moderne.
Les urines sont récoltées après prélèvement direct par vos soins, par sondage ou par cystocentèse (piqûre très peu douloureuse à travers la peau du ventre dans la vessie) guidée par échographie. Les analyses urinaires sont réalisées immédiatement dans le laboratoire de la clinique vétérinaire demi-lune.
La densité urinaire est mesurée au réfractomètre afin d’évaluer la capacité des reins à concentrer les urines. Des reins qui fonctionnent mal laissent passer plus d’eau avec les déchets à éliminer. L’animal dont les reins dysfonctionnent aura tendance à boire et uriner plus.
Notre conseil, laissez votre animal à jeûn avant cet examen (pas de nourriture mais boisson autorisée).
Et surtout, ne le laissez pas uriner dans les 3 heures qui précèdent !
La bandelette urinaire permet de détecter la présence de sucre, de sang, de protéines ou de globules blancs et de mesurer le pH urinaire. Tous ces paramètres sont utiles au diagnostic et au traitement de différentes pathologies (maladies rénales, diabète, infections urinaires…).
L’observation directe du culot urinaire (particules lourdes qui se concentrent au fond du tube après centrifugation) au microscope permet de détecter et /ou identifier la présence de cristaux (minéraux), de globules rouges ou d’autres cellules.
Il s’agit d’examiner au microscope des frottis sanguins, des raclages cutanés, des cytoponctions qui sont réalisés en consultation.
C’est un outil précieux pour le vétérinaire afin d’établir un diagnostic et de déterminer la conduite thérapeutique.
La clinique vétérinaire demi-lune a acquis un nouveau microscope assisté d’une caméra pour enregistrer au format vidéo les images que nous observons au microscope.
Pour mieux vous expliquer et avoir un meilleur suivi.
Les frottis sanguins : une goutte de sang est étalée sur une lame de verre, colorée puis examinée au microscope. Cet examen permet de diagnostiquer la piroplasmose chez le chien (maladie transmise par les morsures de tiques), ou encore d’objectiver une anémie ou une augmentation du nombre des globules blancs.
Les frottis vaginaux : afin de connaître la phase du cycle sexuel de votre chienne ou d’objectiver une infection, le vétérinaire prélève en consultation des cellules et secrétions vaginales sur un écouvillon. Après étalement sur une lame et coloration, ces cellules sont examinées au microscope.
Les raclages, calques cutanés, « scotch-test » : lors d’affections cutanées, il est souvent indispensable de poser un diagnostic précis à l’aide de ces examens complémentaires. Le vétérinaire prélève en consultation des cellules de l’épiderme et les particules présentes sur la peau ou dans le follicule pileux à l’aide d’une lame de scalpel en raclant doucement la peau aux endroits atteints ou en appliquant directement une lame de verre ou un ruban adhésif transparent. Ces différents éléments sont alors observés au microscope après séchage et coloration. Ceci permet de visualiser des bactéries (coques ou bâtonnets), des parasites (gale, démodécie) ou des levures (malassezia) et d’adapter le protocole thérapeutique.
Le trichogramme et la lampe de wood : observation directe des poils dans du lactophénol au microscope afin de mettre en évidence certaines anomalies (manchons pilaires de la teigne), et examen par une lampe fluorescente des lésions cutanées suspectes de teigne.
L’écouvillon auriculaire : afin de soigner une otite, un prélèvement de cérumen est réalisé en consultation. Après étalement sur une lame et coloration, ces cellules sont examinées au microscope. On met alors fréquemment en évidence la présence de bactéries (coques ou bâtonnets), de levures (malassezia), de parasites (gale des oreilles due à un acarien) ou des cellules inflammatoires (globules blancs). Cet examen rapide et facile nous permet de cibler le traitement le plus approprié. Généralement, un écouvillon de contrôle en fin de traitement est recommandé afin d’éviter les rechutes.
La cytoponction à l’aiguille fine: en présence de masse cutanée et après antisepsie locale, le vétérinaire peut prélever des cellules de la masse avec une aiguille afin d’orienter son diagnostic vers un nodule inflammatoire, infectieux ou tumoral. Exemple ci-dessous de la ponction d’un mastocytome cutané, tumeur cancéreuse de la peau chez le chien.
La mesure de la pression artérielle est possible chez le chien et le chat en utilisant un appareil appelé tensiomètre. Grâce à un brassard positionné sur une patte ou au niveau de la queue, qui est gonflé puis dégonflé progressivement, nous pouvons savoir si la pression artérielle de votre animal est dans les valeurs physiologiques normales, augmentée (hypertension artérielle) ou trop basse (hypotension).
Cet examen nous permet d’obtenir deux types de valeurs :
- la mesure de la pression systolique qui correspond à la pression dans les vaisseaux sanguins lorsque le cœur éjecte le sang dans les vaisseaux,
- la mesure de la pression diastolique qui correspond à la pression dans les vaisseaux sanguins lorsque le cœur se remplit de sang.
Cet examen est indolore et peut se réaliser en consultation préventive ou de médecine. La mesure de la pression artérielle permet un dépistage précoce de certaines pathologies cardiaque, rénale ou hormonale, mais également un suivi de pathologies chroniques (insuffisance rénale, hyperthyroïdie …).
N’hésitez pas à nous demander des précisions sur cet examen lors d’une prochaine visite à la clinique.
Le principe d’une radiographie est d’exposer la partie à radiographier à un faisceau de rayons X pour impressionner un film ou un capteur. Les régions les plus denses arrêtent ces rayons X et apparaissent donc plus « blanches » sur l’image formée.
Ces rayons X sont ionisants et donc dangereux pour la santé. Le personnel de la clinique vétérinaire demi-lune exposé aux rayons est suivi médicalement (dosimétrie) et porte des éléments de protection : tablier, gants, lunettes… C’est aussi la raison pour laquelle les propriétaires ne sont normalement pas admis dans la salle pendant l’examen.
Point fort de la clinique vétérinaire demi-lune :
un appareil de radiographie numérique !
Les clichés thoraciques permettent la visualisation des poumons et du cœur (recherche d’anomalies cardiaques, d’œdème pulmonaire, de bronchite, de pneumonie ou d’épanchement pleural), de la trachée (recherche de flaccidité ou collapsus), de l’œsophage (recherche de corps étranger, mégaœsophage), et permettent la réalisation d’un bilan d’extension avant la chirurgie d’une tumeur.
Les clichés abdominaux permettent la visualisation des différents organes abdominaux (foie, rate, appareils digestif et urinaire) et la mise en évidence de corps étrangers (os, noyaux de fruits, balle, jouet, cailloux…), d’arrêt du transit digestif (occlusion), de tumeur, de calculs des voies urinaires, ou d’épanchement… De plus, ils permettent de compter les fœtus lors de diagnostic de gestation (dans les jour qui précèdent la mise bas).
Les clichés osseux sont réalisés dans le cadre de boiterie (recherche de fractures, de luxation, de signes d’arthrose ou de tumeur), du dépistage précoce de la dysplasie de la hanche ou du coude dans les races prédisposées sur les animaux jeunes (Labrador, Golden retriever, Bouvier bernois…). Pour certaines radiographies comme le dépistage de dysplasie ou les fractures des membres, votre animal sera légèrement tranquillisé afin d’obtenir des clichés de bonne qualité sans douleur.
Les clichés thoraciques
Les clichés abdominaux
Les clichés osseux
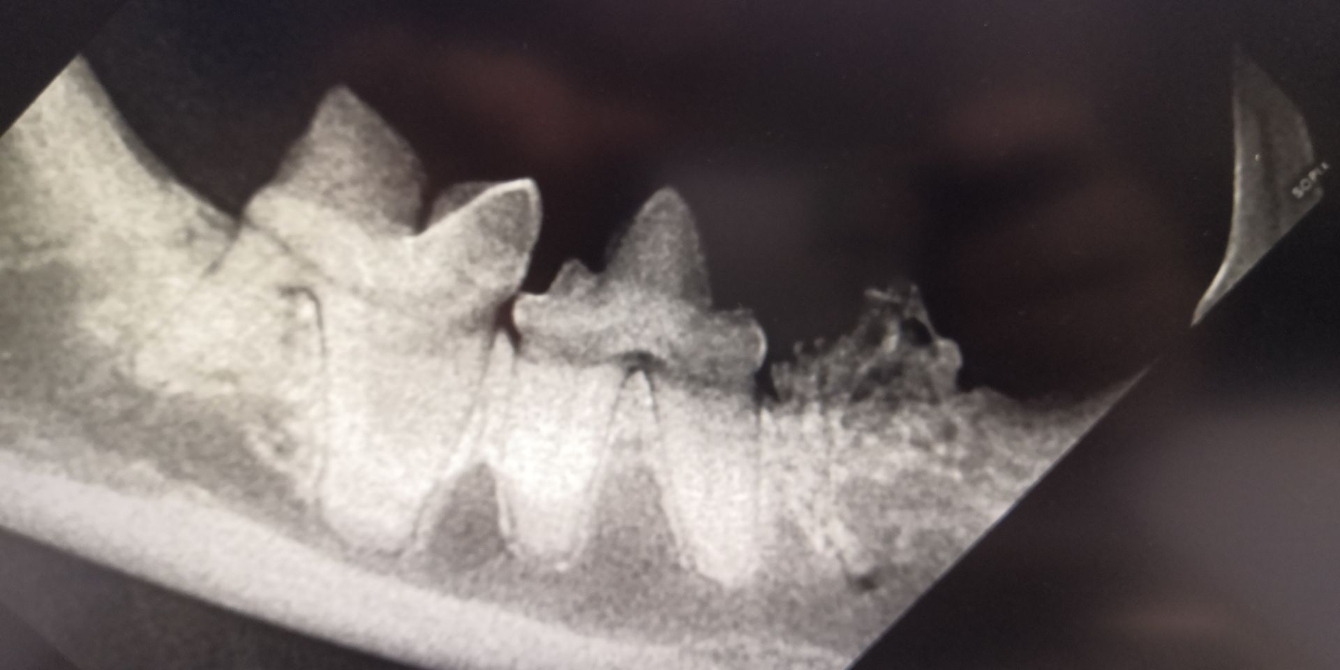
L'appareil de radiographie dentaire, de la marque ACTEON, est muni d'un mini capteur plan SOPIX2. IL permet de réaliser des radiographies dentaires sur les patients préalablement anesthésiés.
Un avantage indéniable en dentisterie !
L'approche de nombreuses pathologies dentaires nécessite la radiographie pour une évaluation complète des lésions et indiquer la conduite à tenir. C'est notamment le cas pour les lésions suivantes :
- lésions de résorptions chez le chat (sortes de caries se formant dans l'émail)
- fractures dentaires
- déchaussements gingivaux et évaluation des poches parodontales
- lésions gingivales de type épulis
- ...











